건강검진에서 빠지지 않는 항목 중 하나가 바로 위내시경 검사입니다. 얇고 긴 관을 식도로 삽입하여 위와 십이지장까지 관찰하는 검사인데요, 검사 결과는 보통 며칠 이내에 확인할 수 있습니다. 위내시경 검사를 통해 위염, 위궤양, 위암 등 다양한 위장 질환을 진단할 수 있습니다. 특히 우리나라 사람들에게 흔하게 나타나는 질환 중 하나가 바로 "위염"입니다.
위염은 위 점막에 염증이 생기는 질환으로, 헬리코박터 파일로리균 감염, 스트레스, 약물, 흡연, 음주, 불규칙적인 식습관, 짠 음식, 매운 음식 등 다양한 원인에 의해 발생할 수 있습니다. 하지만 위염이라고 모두 같은 위염이 아니라는 사실, 알고 계셨나요? 위염은 종류에 따라 원인과 증상, 치료법이 다르기 때문에 정확한 진단과 이해가 중요합니다. 그래서 이 글에서는 위내시경 결과지에 자주 등장하는 5가지 위염 유형을 꼼꼼하게 비교 분석해 드리겠습니다.

위염, 왜 생길까?
위염은 위 점막에 염증이 생기는 질환을 말합니다. 발생 원인은 매우 다양한데요. 헬리코박터 파일로리균 감염, 스트레스, 특정 약물 복용 시, 흡연, 음주, 자극적인 음식(짜고 매운), 등 다양한 원인에 의해 발생할 수 있습니다.
제가 근무하는 내시경실에서는 수많은 원인을 의심하며, 속 쓰림을 호소하는 수검자분들을 만납니다. 그리고 내시경이 진행되면 역시나 위염이 관찰되고요. 저희 병원 통계상 10명이 위내시경을 하면 8~9명이 위염을 보입니다. 그만큼 위염은 우리에게 많이 발생하는 질환입니다.
그런데 막상 위내시경 검사를 받고 결과 설명을 듣다보면, '내가 무슨 위염이라고 했더라?', '그 위염은 어떤 특징이 있는 걸까?'라는 생각을 문득 하게 될 때가 있으실 텐데요. 그래서 오늘은 국가검진 시, 업무포털시스템이라는 국민건강보험공단 사이트에 위내시경 결과를 입력할 때 사용하는 위염 5가지에 대해 알기 쉽게 특징과 차이점을 간단히 설명하려고 합니다.
위염 증상

위염이 발생하면 복통(주로 배의 위쪽 부위 통증), 소화불량, 헛배부름, 구역감 등 다양한 증상이 나타날 수 있으며, 증상이 없는 경우도 많습니다. 또한 이러한 증상들은 위염에서만 특징적으로 나타나는 것은 아니기 때문에 증상만으로 진단하는 것은 정확하지 않을 수 있어 주의가 필요합니다.
급성 위염의 경우에는 명치 부위의 갑작스러운 통증과 구역 및 구토 등이 발생합니다. 이러한 경우에는 대개 증상이 발생하기 전에 진통소염제 등의 약제나 술, 상한 음식 등을 먹었던 경우가 많습니다.
만성 위염의 경우는 특징적인 증상이 없는 경우가 많습니다. 많은 수의 환자가 소화불량과 같은 애매한 증상을 호소하므로 임상적으로는 기능성 소화불량증과 구분이 잘 되지 않는 경우가 많죠. 기능성 소화불량증의 증상으로는 상복부 통증, 복부 팽만감, 조기 포만감 등이 있습니다.
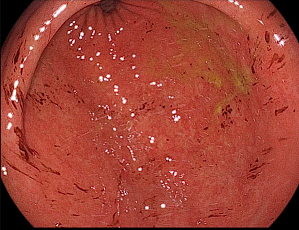
위내시경 검사 결과
총 5가지 종류의 의염의 특징과 증상, 발생원인 등에 대해서 자세히 알아보겠습니다.
위축성 위염


- 위 점막이 얇아지고 위산 분비 기능이 저하되는 만성 위염입니다.
- 헬리코박터 파일로리균 감염, 자가면역 질환, 유전적 요인 등으로 인해 발생합니다.
- 소화불량, 속쓰림, 복부 팽만감, 식욕 부진 등의 증상이 나타날 수 있지만, 증상이 없는 경우도 많습니다.
- 위축성 위염은 위암 발생 위험을 높일 수 있으므로 정기적인 검진과 관리가 중요합니다.
- 헬리코박터 파일로리 제균 치료, 위산 분비 억제제, 점막 보호제 등을 사용하여 치료합니다.
표재성 위염


- 위 점막의 표면에만 염증이 발생하는 가장 흔한 유형의 위염입니다.
- 헬리코박터 파일로리균 감염, 스트레스, 약물, 흡연, 음주 등 다양한 요인으로 인해 발생합니다.
- 속 쓰림, 소화불량, 복통, 메스꺼움 등의 증상이 나타날 수 있습니다.
- 원인에 따라 헬리코박터 파일로리 제균 치료, 위산 분비 억제제, 점막 보호제 등을 사용하여 치료합니다.
- 생활 습관 개선을 통해 증상 완화 및 재발 방지가 가능합니다.
미란성 위염


- 위 점막에 얕은 상처(미란)가 생기는 위염입니다.
- 스트레스, 약물, 헬리코박터 파일로리균 감염 등으로 인해 발생합니다.
- 속 쓰림, 소화불량, 복통, 메스꺼움, 출혈 등의 증상이 나타날 수 있습니다.
- 원인에 따라 헬리코박터 파일로리 제균 치료, 위산 분비 억제제, 점막 보호제 등을 사용하여 치료합니다.
- 스트레스 관리 및 생활 습관 개선이 매우 중요합니다.
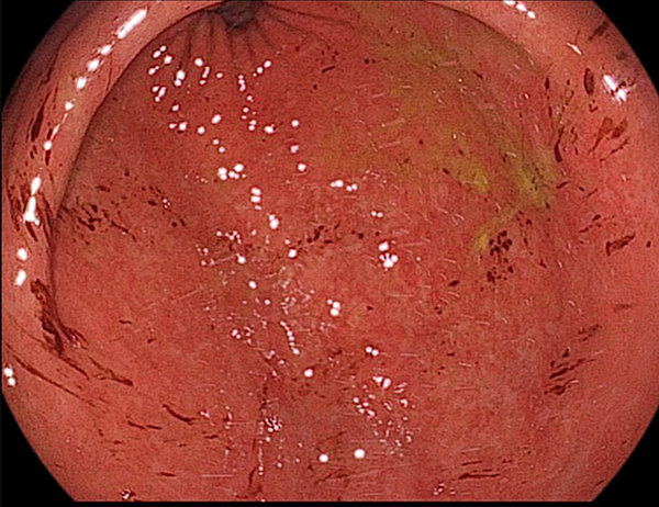
출혈성 위염


- 막에 출혈이 발생하여 붉은 반점이나 검붉은 색 변화가 나타나는 염증성 질환입니다.
- 헬리코박터 파일로리균 감염, 아스피린, 소염제 등의 약물 복용, 과도한 알코올 섭취, 흡연, 스트레스, 심한 화상, 외상, 쇼크 등 다양한 원인으로 인해 발생할 수 있습니다.
- 속 쓰림, 소화불량, 복통, 흑색 변, 혈변, 토혈 등의 증상이 나타날 수 있습니다. 심한 경우 빈혈이나 쇼크가 발생할 수도 있습니다.
- 원인에 따라 헬리코박터 파일로리 제균 치료, 지혈제, 위산 분비 억제제, 점막 보호제 등을 사용하여 치료합니다.
- 출혈성 위염은 위 점막의 손상 정도가 심하고, 출혈로 인해 빈혈이나 쇼크 등의 합병증이 발생할 수 있으므로 적극적인 치료와 관리가 필요합니다.
담즙 역류성 위염


- 십이지장의 담즙이 위로 역류하여 위 점막에 염증을 일으키는 질환입니다.
- 위 절제 수술, 십이지장 궤양, 담낭 질환 등으로 인해 발생할 수 있습니다.
- 속 쓰림, 구토, 복통, 식욕 부진 등의 증상이 나타날 수 있으며, 위액에 노란색 담즙이 섞여 나올 수 있습니다.
- 담즙 역류를 억제하는 약물, 위산 분비 억제제, 점막 보호제 등을 사용하여 치료합니다.
마무리
위염은 흔한 질환이지만, 방치하면 위궤양, 위암 등 심각한 질환으로도 이어질 수 있어요. 위내시경 검사 결과를 꼼꼼히 확인하고, 자신의 위염 유형에 맞는 치료와 관리를 통해 건강한 위를 유지하시기 바랍니다.
글을 마치며 독자분들께서 궁금해하실 것 같은 내용 몇 가지도 더 발췌하여 Q&A 형식으로 남기려고 합니다. 오늘도 긴 글 읽어주셔서 감사합니다. 건강한 하루 보내세요!
Q & A
Q. 위염에 좋은 음식은?
A: 양배추, 브로콜리, 생강, 마, 꿀 등이 위 점막을 보호하고 소화를 돕는 데 효과적입니다.
Q. 위염인데 커피를 마셔도 되나요?
A: 커피는 위산 분비를 촉진할 수 있으므로 위염 증상이 있을 때는 섭취를 제한하는 것이 좋습니다.
Q. 간헐적 단식, 위염에 괜찮은가요?
A: 간헐적 단식은 위염 환자에게 위험할 수 있으므로 주의가 필요합니다. 공복 시간이 길어지면 '위산 과다 분비, 위장 운동 기능 저하, 담즙 역류' 등이 발생하여 위 점막을 자극하고 염증을 악화시킬 수 있기 때문입니다.
Q. 만성 위염이 오래되면 위암이 되나요?
A: 현재까지 알려진 바로는 만성 위축성위염과 장상피화생이 위암 발생의 전구 과정으로 추측되고 있지만, 만성 위염이 오래되면 위암이 되지 않을까 하는 걱정을 할 필요는 없습니다. 하지만 만성 위염은 그 이전 상태로 돌아갈 수 없는 상태입니다. 장상피화생으로 발전하기 전에 정기적인 검진을 통해 위를 관리하는 것이 무엇보다 중요합니다.
<함께 읽으면 좋은 관련 글>
2024.09.07 - [건강(의학정보 및 생활건강)] - 헬리코박터균, 원인, 증상, 검사(CLO, UBT), 제균치료
헬리코박터균, 원인, 증상, 검사(CLO, UBT), 제균치료
혹시 속 쓰림, 소화불량, 복통 등의 증상으로 고생하고 계신가요? 그렇다면 헬리코박터균 감염을 의심해 볼 수 있습니다. 저는 어머니가 오래전부터 헬리코박터균 제균치료를 하신 적이 있어서
news.joyjoyhealth.com
2024.11.24 - [건강(의학정보 및 생활건강)] - 항암에 좋은 음식, 나쁜 음식: 7대암의 종류별 음식추천
항암에 좋은 음식, 나쁜 음식: 7대암의 종류별 음식추천
"암과의 싸움, 식탁에서부터 시작된다!" 암은 한국인 사망 원인 1위를 차지하는 질병입니다. 암과의 싸움은 진단과 치료뿐만 아니라 식습관에도 달려 있습니다. 올바른 식습관은 암 예방 및 치
news.joyjoyhealth.com
2024.09.11 - [건강(의학정보 및 생활건강)] - 장상피화생이 암으로 가는 진행단계, 위암 촉진하는 위험인자 5가지 예방하기
장상피화생이 암으로 가는 진행단계, 위암 촉진하는 위험인자 5가지 예방하기
혹시 건강검진 후 '장상피화생'이라는 진단을 받고 걱정하고 계시나요? 저희 어머니, 외삼촌이 장상피화생 진단을 받으셔서 저도 공부를 하게 됐어요. 장상피화생은 적절한 관리 없이 방치하면
news.joyjoyhealth.com
<참고자료>
https://health.kdca.go.kr/
health.kdca.go.kr
Index. EndoTODAY 이준행
EndoTODAY Old | EndoATLAS | OPD 식도 | 위염과 위궤양 | 위암 | ESD | 기생충 | 세미나 | 핸즈온 Home | Recent/Old | Blog | Links EndoTODAY 내시경 교실 [EndoTODAY Update by 아낌없이 주는 선생 이준행] - 終 ★ EndoTODAY 내
endotoday.com
'건강(의학정보 및 생활건강)' 카테고리의 다른 글
| RSV 바이러스 감염과 독감 차이, 예방접종(시나지스, 베이포투스) (6) | 2024.12.21 |
|---|---|
| 독감치료제 타미플루 vs 페라미플루, 독감 증상과 치료비용 독감검사 실비청구 (1) | 2024.12.20 |
| 재신경치료 비용은 얼마? 건강보험적용, 치료과정까지 미리 확인하세요! (2) | 2024.12.14 |
| 전기매트 추천, 10만원대 이하 제품 전격비교!! 과연 1위는?? (0) | 2024.12.12 |
| 탄수화물 추천등급 확인하기, 아침에 챙겨먹기 좋은 순서 (3) | 2024.12.12 |